Re-examining the Plaque-Gingivitis Connection and the Role of Stannous Fluoride
Course Number: 579
Course Contents
How Gingival Inflammation Develops
Supragingival plaque is initially colonized primarily by gram positive aerobic bacteria; e.g., Streptococcus, Haemophilus, and Neisseria species (Figure 3).18 If plaque deposits are left undisturbed and allowed to mature, the subgingival microbiota composition shifts to predominately gram-negative anaerobic bacteria and becomes more virulent. Examples of frequently found subgingival plaque bacterial species include Aggregatibacter actinomycetemcomitans, Tannerella forsythia, Porphyromonas gingivalis, Campylobacter rectus, Prevotella intermedia, and Selenomonas species.18-21
What, specifically, does the corresponding inflammatory process look like in the gingival tissues? In the very earliest stage where plaque and/or calculus are serving as an irritant in the sulcus (initial lesion), only histological tissue changes can be seen.
Figure 3.
Dental plaque forms above the gumline and in the gingival sulcus. Bacterial composition varies with location; anaerobic bacteria predominate in the gingival sulcus.
If homeostasis is not restored by modulation or removal of the irritant, this lesion will likely become pathologic (early lesion) and lead to visible local vasodilation, edema, and increased gingival crevicular fluid. 22,23
A well-orchestrated intracellular signaling pathway governs the pathogen/host tissue interface. Toll-like receptors (TLR) in the periodontium, predominately ‘TLR4’ and ‘TLR2’, reside on the cell walls in the periodontal ligament fibroblasts, the gingival fibroblasts, the epithelia, the endothelia, and also in the cells of an individual’s immune system, including macrophages and neutrophils. During the recognition phase, TLRs scan for bacterial pathogens like those residing in the biofilm of plaque, and then mount a complex defense reaction if provoked.23-29
A closer look at the inflammatory defense reaction shows that TLR bind and interact with plaque bacterial endotoxins, such as lipopolysaccharides (LPS) and lipoteichoic acid (LTA). This interaction induces a series of events which includes the production of inflammatory-generating cytokines (e.g., interleukin-1beta, interleukin-6) and other effector molecules. Toxic metabolites produced by the invading pathogens further provoke and increase the TLR response and can result in reduced tissue repair, more inflammation, and greater permeability of the tissue (Figure 4).23-29
Figure 4.
In the gingival sulcus, the unique patterns of plaque bacteria are recognized by host “look out” cells (TLRs), spurring interaction with them and their toxic metabolites and stimulating the recruitment of host inflammatory mediators to mount a defense. This leads to the classic clinical manifestations of gingivitis.
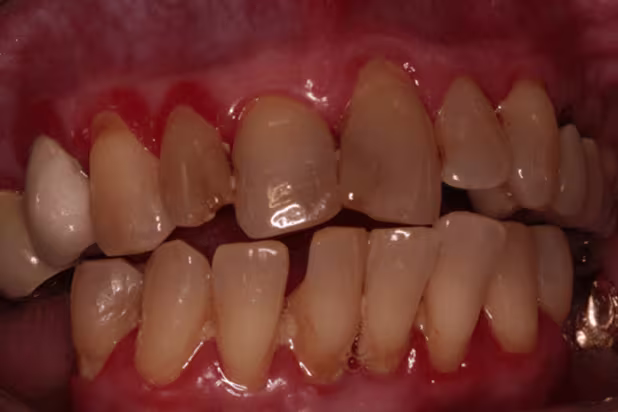
Should the early lesion progress to an established lesion with a proliferation of plasma cells, lymphocytes and macrophages, moderate-severe gingivitis will be apparent with clearly visible gingival contour, color, and bleeding abnormalities (Figure 5).
Figure 5.
Recognizable signs of established gingivitis include red, edematous, bleeding gums.
In susceptible patients – and without intervention and a return to homeostasis – there is ultimately a transition to an advanced lesion. Chronic inflammation results, which may lead to extracellular matrix tissue destruction and possible bone loss associated with periodontitis. 22,23




